L’imagerie dentaire est un outil essentiel pour la santé bucco-dentaire. Réalisée directement au sein de votre clinique dentaire à Bruxelles, près de Woluwe-Saint-Lambert, Woluwe-Saint-Pierre et Schaerbeek, elle permet de visualiser avec précision la structure des dents, de la mâchoire et du maxillaire. Grâce à des équipements de dernière génération, les radiographies dentaires, radios panoramiques et scanners dentaires offrent un diagnostic précis et rapide.
Tout comme dans un centre d’imagerie dentaire, chez Dental Anspach, vous bénéficiez :
- D’examens radiologiques réalisés sur place avec un scanner dentaire moderne.
- Des compétences d’un professionnel formé à la radiologie dentaire.
- D’une radiographie numérique précise, limitant les rayonnements ionisants.
- D’une intégration immédiate des images dans le plan de traitement.
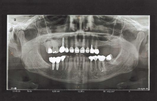
L’imagerie dentaire s’appuie sur des techniques d’imagerie conventionnelles et numériques. Pratiquée dans votre cabinet dentaire à Bruxelles, la radiographie panoramique dentaire ou radio panoramique permet d’obtenir une vue complète de la mâchoire, de la mandibule, des dents de sagesse et des structures osseuses. Chaque image radiographique contribue à un diagnostic fiable et à la planification de traitements tels que la pose d’implants dentaires, la préparation d’une prothèse dentaire ou le suivi de soins dentaires existants.

À proximité de Woluwe-Saint-Lambert et des quartiers voisins, votre clinique dentaire propose des examens radiographiques dentaires adaptés à chaque patient. La radiologie dentaire permet de visualiser les dents, le maxillaire et la mandibule avec une clarté exceptionnelle.
Les équipements d’imagerie numérique du cabinet facilitent la détection des pathologies osseuses, la préparation à la pose d’implants et la planification de prothèses dentaires.
Vos radiologues et dentistes interprètent chaque image radiographique avec soin, garantissant un diagnostic précis et une prise en charge adaptée à la situation clinique.
Lors d’une consultation pour un bilan complet avant un traitement.
Dans le cadre d’une urgence dentaire nécessitant un examen radiologique rapide.
Avant la pose d’un implant dentaire ou d’une prothèse dentaire fixe ou amovible.
Pour le suivi d’un traitement de chirurgie ou d’implantologie.
Prenez rendez-vous avec les dentistes de Dental Anspach pour toute consultation ou urgence dentaire à Bruxelles.
Téléphone
Adresse
Horaires
| 09:00 - 18:00 |
| Lundi-samedi |

La radiographie numérique et le scanner dentaire offrent des images détaillées des structures osseuses et faciales. Tout comme un centre d'imagerie dentaire, Dental Anspach, cabinet dentaire à Woluwe-Saint-Pierre, met la
technologie au service de la précision et du confort. L’utilisation de techniques d’imagerie assistée par ordinateur permet de visualiser les dents, les gencives et les tissus environnants. Ces examens radiologiques
contribuent à la prévention et au suivi de la santé bucco-dentaire.
En cas d’urgence dentaire, ces images facilitent la détection de fractures, d’infections ou de complications post-traitement.
À noter : Avant tout examen clinique, il est conseillé de signaler la présence de prothèses dentaires, d’objets métalliques ou d’implants afin d’assurer une radioprotection optimale et une image radiographique de qualité.
L’équipe médicale du cabinet regroupe des dentistes, chirurgiens-dentistes et radiologues qui travaillent ensemble pour garantir la qualité des examens. Chaque examen radiologique est interprété
en concertation pour offrir un plan de traitement cohérent, qu’il s’agisse de la préparation d’une prothèse, d’une implantologie ou du suivi de soins.
Les patients de Schaerbeek et des communes voisines peuvent bénéficier de radiographies panoramiques ou de scanners dentaires sans délai, dans un environnement calme et sécurisé.
L’imagerie diagnostique fait partie intégrante des soins dentaires proposés par le cabinet Dental Anspach. Grâce à une technologie numérique de dernière génération,
chaque examen radiographique contribue à une meilleure compréhension du traitement par le patient. Qu’il s’agisse d’un contrôle de prothèses dentaires, d’une évaluation osseuse avant implant,
ou d’une urgence dentaire, votre centre dentaire spécialisé en imagerie à Bruxelles, près de Woluwe-Saint-Lambert, Woluwe-Saint-Pierre et Schaerbeek, offre une prise en charge complète et fluide.
La radiologie dentaire est au cœur de notre engagement : offrir des examens radiologiques fiables, rapides et adaptés à chaque besoin, pour une santé bucco-dentaire durable.
Pour toute demande d’information, prise de rendez-vous ou question, complétez le formulaire ci-dessous et l’équipe vous répondra rapidement.
Consultez également :